
Thank You!
Your Dental Implant Evaluation has been submitted. You should be receiving an email with
your results and valuable information on pricing and different treatment options available to you.

Your Dental Implant Advisor will be contacting you to review your results and schedule one of the following options:
In office Dental Implant Consultation with the Doctor and an Implant Advisor
Tele-Consultation with an Implant Advisor

Dr. Alan Brodine
Dr. Alan Brodine is a Board Certified Prosthodontist and has been a Diplomate of the American Board of Prosthodontics since 1991.
Dr. Alan Brodine has made more than 100 invited presentations at national and international venues and has authored numerous papers in major Prosthodontic journals.
Dr. Brodine has maintained a private practice Limited to Prosthodontics in Rochester, N.Y., since 1988. He spends 80% of his time in private practice and 20% of his time teaching. Dr. Brodine has surgically placed more than 5000 dental implants.
In addition, Dr. Brodine formed Brodine Prosthodontic Seminars in 2003 to help Dentists master specific Prosthodontic and Dental Implant skills.

Dr. Brian Brodine
Dr. Brian Brodine is a Board Certified Prosthodontist and a Fellow in the American College of Prosthodontists. As a native Rochesterian Dr. Brian Brodine attended Rochester Institute of Technology obtaining a bachelor’s of science in both health information science and biomedical science in 2014. Following college, Dr. Brian Brodine attended dental school at the University of Tennessee Health Science Center graduating in 2018 with the Deans Award in clinical dentistry. In 2021, Dr. Brian Brodine completed a Masters of Dental Science program and was awarded a certificate in Advanced Prosthodontics from the University of Tennessee Graduate Heath Science program. While in his post-doctoral training Dr. Brian Brodine was involved in teaching fixed and removable prosthodontics to pre-doctoral dental students at the University of Tennessee dental school, conducted biomaterials research and completed clinical treatment for patients requiring complete and partial tooth replacement as well as management of patients suffering with TMJ disorders.
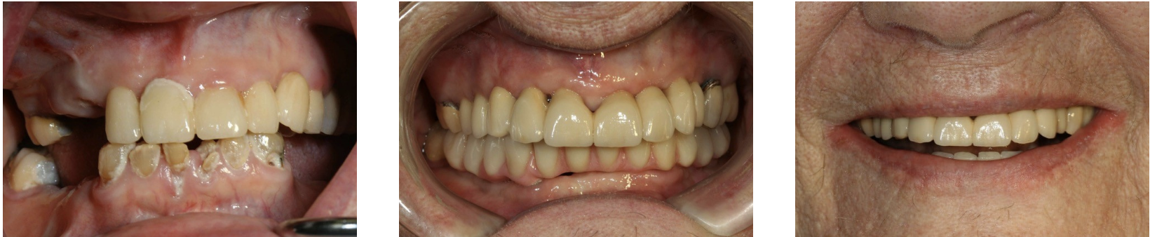
Full arch dental implants provide patients with brand new teeth by utilizing a permanent, titanium-reinforced bridge that can be secured with four to six dental implants. This allows us the flexibility to strategically place the implants in the areas in which the bone is most dense, reducing our need for bone grafting and other supporting treatments. Please keep in mind that we can help people in nearly any situation because of our team approach to Full Mouth Implant Cases.

See If You Qualify!
12 Month Interest Free Financing With Extended Easy Payment Options

Brodine Prosthodontics
220 Linden Oaks, Suite 340
Rochester, NY 14625
(585) 669-6050